سلامتی و پزشکی

آنفلوآنزا تا 10 روز آینده فروکش می نماید

آنفلوآنزا تا 10 روز آینده فروکش می نماید

وزیر بهداشت و درمان گفت: در حال حاضر بیماری آنفلوآنزا قابل کنترل است و پیک این بیماری حدود هشت تا 10 روز دیگر فروکش می نماید.

30 دی 1398
دانشگاه علوم پزشکی کردستان دانشجوی خارجی می پذیرد

دانشگاه علوم پزشکی کردستان دانشجوی خارجی می پذیرد

دانشگاه علوم پزشکی کردستان برای نیمسال دوم تحصیلی 99-98 دانشجوی خارجی پذیرش می نماید.

24 دی 1398
ساخت یک کلاه ایمنی دوچرخه سواری که تغییر شکل می دهد

ساخت یک کلاه ایمنی دوچرخه سواری که تغییر شکل می دهد

مهندسان دانشگاه دیکین(Deakin) یک کلاه ایمنی هوشمند مخصوص دوچرخه سواری موسوم به دایناایرو(Dynaero) ساخته اند که به منظور حفظ حالت آیرودینامیکی در طول دوچرخه سواری تغییر شکل می دهد.

25 آذر 1398
آداب و رسوم نوشیدن چای در گوشه و کنار دنیا

آداب و رسوم نوشیدن چای در گوشه و کنار دنیا

امروزه در سرتاسر دنیا به ندرت می توان محلی را پیدا کرد که نوشیدن چای بخش مهمی از فعالیت های زندگی روزانه حداقل عده ای از ساکنان آن نباشد. نوشیدن چای در هر ساعت از روز و در هر مکانی کاملا عادی و مرسوم است؛ از جمله در حین کار و فعالیت روزانه، در خانه، در جمع...

23 آذر 1398
جدیدترین فیلم های سینمایی جهان اینجاست (17)

جدیدترین فیلم های سینمایی جهان اینجاست (17)

خبرنگاران - ترجمه از سولماز محمودی: کیث کیمبل، از وب سایت متاکریتیک هر هفته آخرین اخبار، آپدیت ها، تریلرها و مطالب مربوط به فیلم های سینمایی که قرار است در طول ماه های آینده روی پرده سینماهای جهان بروند را گردآوری و منتشر می کند. متاکریتیک وبسایتی تجاری...

23 آذر 1398
این فیلم ها را شب با خانواده ببینید

این فیلم ها را شب با خانواده ببینید

چه چیزی بهتر از این است که شب را در کنار عزیزانتان به تماشای یک فیلم خوب بگذرانید؟ خوشبختانه فیلم های خوب زیادی برای دیدن با خانواده وجود دارد. در این لیست سه نوع فیلم وجود دارد، عاشقانه، ماجراجویی و محبت آمیز، پس برای خود و خانواده تان فضایی دنج آماده...

23 آذر 1398
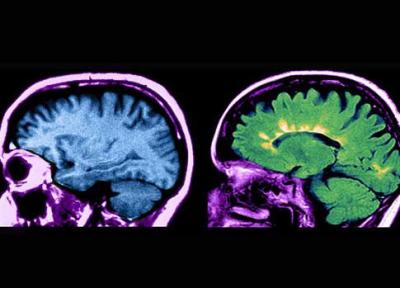
ابداع روشی خطرناک برای درمان ام اس

ابداع روشی خطرناک برای درمان ام اس

مجله دیجی کالا - زهرا غلامی: گروهی از محققان کانادایی در یک پژوهش جدید توانسته اند با شیمی درمانی خیلی قوی و تزریق سلول بنیادی جلوی پیشرفت بیماری اسکلروز چندگانه یا همان ام اس را بگیرند.

23 آذر 1398
تعداد: (347)